Webshop
KERESÉS AZ ELLE CIKKEI KÖZÖTT

Írd be a keresett kifejezést (Min. 3 karakter)

egészség

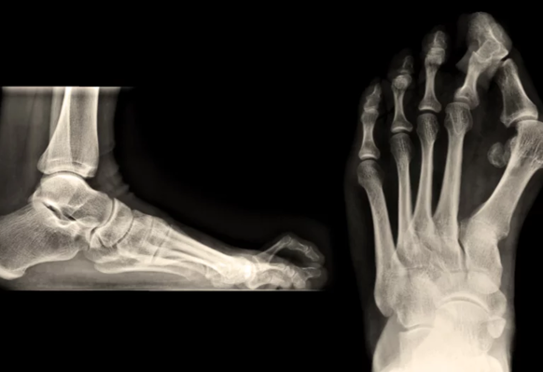
Mit tegyél a bütyök és kalapácsujj ellen?

2025. augusztus 15.

5 perc olvasás

egészség láb dr rose magánkórház bütyök kalapácsujj

Támogatott tartalom

Mit tegyél a bütyök és kalapácsujj ellen?
© Dr. Rose Magánkórház

A láb egészsége a mindennapok kényelmét és mozgásszabadságát alapvetően meghatározza. 


Dr. Kiss Dániel ortopéd-traumatológus, a  Dr. Rose Magánkórház szakorvosa szerint a bütyök és a kalapácsujj a leggyakoribb lábdeformitások közé tartoznak, mégis sokan csak akkor fordulnak orvoshoz, amikor a probléma már komoly fájdalmat okoz. A megelőzés, a korai felismerés és a szakszerű kezelés hosszú távon nemcsak a fájdalmat csökkenti, hanem a mozgásminőséget is jelentősen javítja.

Milyen tényezők állnak a bütyök és kalapácsujj hátterében?

A bütyök kialakulása mögött sokszor genetikai hajlam húzódik meg. Ahogy Kiss doktor elmondja, gyakran látni családi halmozódást: „Ha az édesanyánál, nagymamánál jelen van a bütyök, a következő generációban is jó eséllyel megjelenik.” Még fontosabb a rosszul megválasztott cipők, a túl szoros, hegyes orrú lábbelik szerepe, a tartós magassarkú viselet tovább súlyosbíthatja a helyzetet. Emellett hormonális és anyagcsere-eltérések – például pajzsmirigybetegség – is hozzájárulhatnak a kötőszöveti gyengeséghez, amely a bütyök kialakulásának kedvez. De rizikótényező lehet a túlsúly is, illetve, ha megvan a hajlam a bütyökre, a várandósság is ronthat a helyzeten.

A kalapácsujj legtöbbször a bütyökkel együtt jelenik meg, hiszen gyakran a deformált nagylábujj kényszeríti rossz pozícióba a szomszédos ujjakat. „A kalapácsujj valójában egy láncreakció eredménye, ahol a láb statikájának megborulása fokozatosan torzítja el a lábujjak helyzetét” – mondja Kiss doktor.

A megelőzés első lépése: tudatos lábbeli-választás

Az ortopéd szakorvos szerint a megfelelő cipőválasztás kulcskérdés a megelőzésben. A túl szűk cipő, a hegyes orr és a magas sarok mind hozzájárulnak a deformitások kialakulásához. „A jó cipő kényelmes, elegendő helyet biztosít az előláb számra, a sarka pedig minimális” – javasolja Dr. Kiss Dániel. Különösen fontos, hogy már fiatal korban tudatosan válasszunk lábbelit, hiszen a deformitások kialakulása sokszor már serdülőkorban elkezdődhet, illetve az örökletesen megjelenő eltérések így fokozódnak, hamarabb okoznak tartós panaszokat. A gyógytorna is fontos szerepet tölt be az izomegyensúly megőrzésével, segít megelőzni az izom- és ínszalag-rövidüléseket, amelyek hosszú távon deformitáshoz vezethetnek.

Mikor indokolt a műtéti megoldás? Ha már kialakult a deformitás, és panaszokat okoz, a műtét a leghatékonyabb megoldás. „A bütyök kezelésekor nemcsak a csontos eltérést korrigáljuk, hanem helyreállítjuk az ínak és szalagok egyensúlyát is” – hangsúlyozza Kiss doktor. A műtéti technika megválasztása a deformitás súlyosságától, a páciens életkorától és aktivitási szintjétől függ.

A kalapácsujj műtéti korrekciójára szintén több megoldás áll rendelkezésre, melyek megfelelő alkalmazása a láb funkciójának helyreállítását és annak megőrzését is biztosítja. „Fontos tudni, hogy a panaszok megszüntetése nemcsak esztétikai előnyt jelent, hanem jelentős funkcionális javulást is eredményezhet a betegek számára” – teszi hozzá a Dr. Rose Magánkórház szakorvosa.

Műtét után mennyire tartós a beavatkozás?

A megfelelő műtéti terv és a páciens együttműködése együttesen biztosítják a hosszú távú eredményeket. A Dr. Rose Magánkórházban a műtétet követően részletes tájékoztatást adnak a rehabilitáció menetéről. Kiss doktor szerint „egy jól kivitelezett műtét, pontos utókezeléssel kiegészítve, tartós eredményt adhat. A betegek nagy többsége a korábbi fájdalmak megszűnéséről, és a terhelhetőség javulásáról számol be, illetve a láb formájának visszanyerésével is elégedettek.”

Fontos tudni, hogy a teljes felépülés egyéni ütemben történik, de rendszerint 6-8 hét után a terhelés fokozatos megkezdésével már jelentős javulás észlelhető, a teljes terhelés, illetve a duzzanat csökkenésével a csaknem teljes funkció pedig 3-4 hónap elteltével érhető el.

Megelőzés, gondoskodás, hosszú távú eredmény

A bütyök és a kalapácsujj esetében is a legjobb megoldás a megelőzés, de ha a probléma már kialakult, érdemes szakemberhez fordulni. „Sokan túl későn érkeznek, holott a fájdalom, a kényelmetlenség elkerülhető lenne tudatos életmóddal, megfelelő cipőválasztással és szükség esetén időben elvégzett műtéttel” – zárja gondolatait Kiss doktor.

Neked ajánljuk

A ROVAT LEGNÉPSZERŰBB CIKKEI

Két macska v...
1

Két macska van ezen a képen, de csak az emberek 1%-a képes megtalálni őket

2022.08.18. 1 perc olvasás

Két macska van ezen a képen, de csak az emberek 1%-a képes megtalálni őket

Te megtalál...
2

Te megtalálod mind a négy nőt a rajzon? Csak az emberek 1 százalékának sikerül

2022.07.13. 1 perc olvasás

Te megtalálod mind a négy nőt a rajzon? Csak az emberek 1 százalékának sikerül

Te megtalál...
3

Te megtalálod a lovat 15 másodperc alatt a képen?

2022.07.26. 1 perc olvasás

Te megtalálod a lovat 15 másodperc alatt a képen?

Bevezetik a...
4

Bevezetik a menstruációs szabadságot Magyarországon is

2022.09.01. 1 perc olvasás

Bevezetik a menstruációs szabadságot Magyarországon is

Egy orvos el...
5

Egy orvos elárulta a rákbetegségek legfontosabb tünetét, amit nem szabad figyelmen kívül hagyni

2023.06.14. 2 perc olvasás

Egy orvos elárulta a rákbetegségek legfontosabb tünetét, amit nem szabad figyelmen kívül hagyni

2030-ra ez a...
6

2030-ra ez az undorító szakma lehet a legnépszerűbb

2022.08.26. 1 perc olvasás

2030-ra ez az undorító szakma lehet a legnépszerűbb

A rák egyik...
7

A rák egyik jele lehet ez a lefekvéskor jelentkező tünet

2024.01.12. 2 perc olvasás

A rák egyik jele lehet ez a lefekvéskor jelentkező tünet

Csak a legok...
8

Csak a legokosabbaknak sikerül 20 másodperc alatt kiszúrni az egeret a képen

2022.08.05. 1 perc olvasás

Csak a legokosabbaknak sikerül 20 másodperc alatt kiszúrni az egeret a képen

Ezek is érdekelhetnek

A dietetikus...

A dietetikusok állítják – ez a legegészségesebb citrusféle, amit mindenkinek fogyasztania kellene

2025.11.08. 2 perc olvasás

Healthy life

All inclusiv...

Támogatott tartalom

All inclusive feltöltődés az Ensana Thermal Aqua-ban – ahol a test és a lélek újjászületik

Támogatott tartalom

2025.11.06. 3 perc olvasás

Kim Kardashi...

Kim Kardashian megszólalt az egészségéről, azután, hogy agyi aneurizmát találtak nála

2025.10.29. 2 perc olvasás

Vallomás

Őszi vitamin...

Őszi vitamin kalauz: ezeket a vitaminokat szedd, hogy energikus maradj!

2025.10.23. 3 perc olvasás

Healthy life

Diane Keaton...

Diane Keaton ikonikus kalapjának története – nemcsak divatból hordta

2025.10.12. 3 perc olvasás

Hat

Így virágozt...

Így virágoztasd fel ősszel a karrieredet, az egészségedet és a pénzügyeidet – Feng Shuival

2025.10.10. 5 perc olvasás

inspiráció

A fehérje hi...

A fehérje hiánya: így jelez a tested, ha nem kapsz eleget!

2025.10.01. 3 perc olvasás

jelek

A kardiológu...

A kardiológusok azt mondják: ezek az italok csökkenthetik a vérnyomást

2025.09.26. 4 perc olvasás

Healthy life

Figyelem

Az általad megtekinteni kívánt tartalom olyan elemeket tartalmaz, amelyek az Mttv. által rögzített besorolás szerinti V. vagy VI. kategóriába tartoznak, és a kiskorúakra káros hatással lehetnek. Ha szeretnéd, hogy az ilyen tartalmakhoz kiskorú ne férhessen hozzá, használj szűrőprogramot!

Még nem múltam el 18 éves